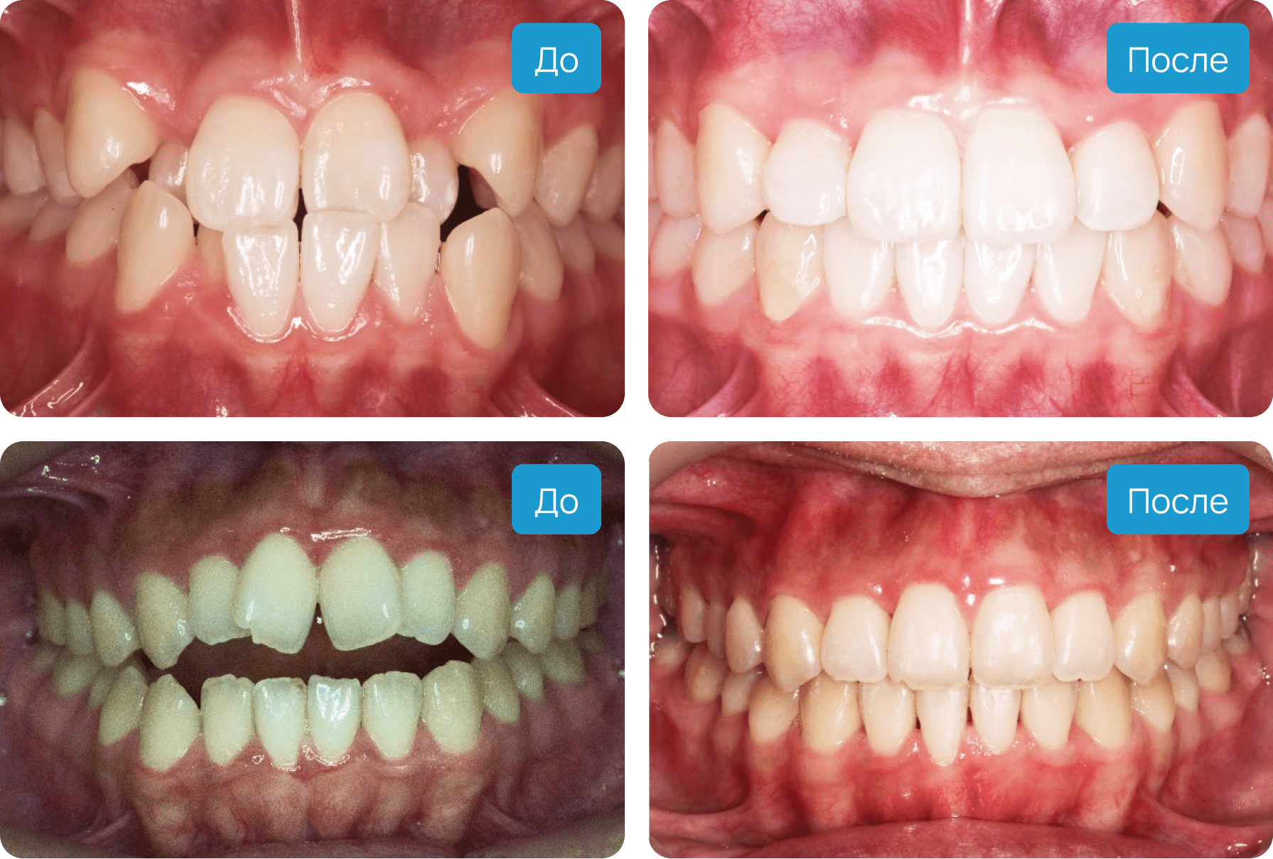
Результаты
Преимущества
Этапы лечения
Контакты
RU
KZ
Получить консультацию
Результаты
Преимущества
Этапы лечения
Контакты
KZ
RU
Результаты
Оставьте свой номер телефона и мы свяжемся с вами!
Данные успешно отправлены. Спасибо!
Позвонить
Или вы можете нам позвонить по этому номеру
+7 727 311-52-49
Made on
Tilda